Kiran Shankla presents a case study demonstrating the benefits of Stela, a self-cure composite that delivers durable, aesthetic results.
Kiran Shankla (BDS MSC MFDS) is a restorative and aesthetic dentist practising at Kendrick View Dental Practice in Reading.
A 17-year-old female patient presented for a routine six-month examination without complaints or concerns regarding her teeth. I noted a small colour change on the upper left premolar during the examination with five times magnification loupes.
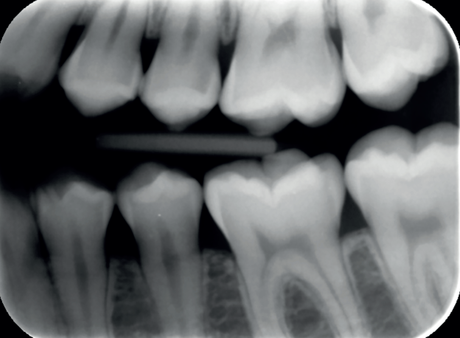
An X-ray confirmed the presence of a cavity, which was highlighted using a second-opinion AI software (Figures 1 and 2). Given the cavity’s location in the visible smile line and the patient’s age, I opted for a tooth-coloured filling rather than the NHS amalgam option. I chose Stela, a high-performance selfcure composite, for its aesthetic and functional qualities.
|

Figure 1: Routine bitewing
|

Figure 2: AI technology used to show areas of caries to the patient
|
Treatment details
The patient was booked for the filling appointment, where I administered a local anaesthetic. As this was her first filling, the aim was to ensure a pleasant experience. I prefer working under a rubber dam for better control during the procedure, although Stela does not require one.
After removing the decay, I took several photos to help illustrate the cavity’s extent. I then placed a sectional matrix to ensure proper contact closure, as the cavity was large. After this, I applied Stela.
Stela’s two-step system consists of a primer and composite, reducing the steps typically required for an amalgam restoration. The primer, which takes just 15 seconds, was followed by applying the Stela composite. This material’s
Kiran Shankla presents a case study demonstrating the benefits of Stela, a self-cure composite that delivers durable, aesthetic results consistency allowed me to sculpt it before it was set, making the procedure more efficient.
Outcome and follow-up
The restoration process was straightforward, efficient, and completed in less time than traditional methods. The use of Stela reduced the number of instruments and procedural steps involved, making the process more cost-effective and time-efficient.
After placing the filling, I let the material set for a few minutes, then carried out final trimming and polishing without additional curing lights, simplifying the procedure even further.
After treatment, the patient reported no sensitivity, and the restoration remained intact with no complications. However, as she is considered at higher risk for dental issues, I will schedule an X-ray in one year to assess the restoration’s longevity
|
 Figure 3: The teeth are isolated using a rubber dam
|
 Figure 4: Distal caries removed UL5, distal fractured cleaner UL4
|
|
 Figure 5: Teeth have been conditioned using air abrasion
|
 Figure 6: Sectional matrix placement followed by placement of the Stela primer for five seconds
|
|
 Figure 7: Appearance of the cavity after primer placement
|
 Figure 8: Single increment of Stela up to the cavity margins
|
|
 Figure 9: Appearance after four minutes fully set
|
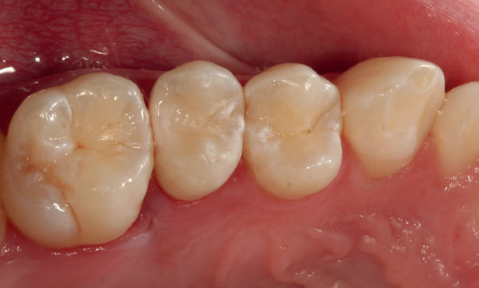
 Figure 10: Postoperative images after occlusal adjustment. Two fillings placed UR4 and UR5
|
The restoration remained intact with no complications
Material selection
I selected Stela for its excellent aesthetic qualities, fast-setting process and ability to provide durable, reliable results.
The material’s natural translucency allowed it to blend seamlessly with the surrounding tooth structure, a crucial factor due to the cavity’s location. Furthermore, Stela’s superior mechanical properties, including high flexural and compressive strength, made it an ideal choice for a restoration designed to withstand everyday function.
Stela has improved my workflow, replacing the traditional multi-step amalgam process with a simplified two-step system. This approach saves me time and reduces the risk of technique errors.
The self-curing nature of Stela eliminates the need for light curing, enhancing productivity, especially in busy NHS practices.
Stela’s gap-free curing properties reduce the risk of shrinkage and microleakage, contributing to more reliable, long-lasting restorations. The material’s self-curing properties allow it to cure from the margins inward, effectively reducing polymerisation stresses common in light-cured composites.
Patient satisfaction
The faster treatment time and less invasive procedure enhanced the patient’s experience. Stela’s simple, two-step process and reduced chair time made the procedure more comfortable.
Stela offers a transformative approach to restorative dentistry by simplifying procedures and improving clinical outcomes. Its self-curing properties, durability and aesthetic appeal make it a strong alternative to traditional amalgam, reducing treatment time and enhancing productivity.
This case highlights how Stela can streamline restorative dentistry, providing high-quality, durable, and aesthetically pleasing results with minimal effort.
View Product